Phục Hồi Toàn Hàm Với Zirconia: Giải Pháp Xâm Lấn Tối Thiểu
Phục hồi toàn hàm bằng phương pháp xâm lấn tối thiểu đang là lựa chọn hàng đầu hiện nay. Phương pháp này không chỉ bảo tồn mô răng thật mà còn mang lại vẻ đẹp tự nhiên. Bài viết dưới đây sẽ phân tích một ca lâm sàng thực tế sử dụng Zirconia để giải quyết các thách thức về chức năng nhai.
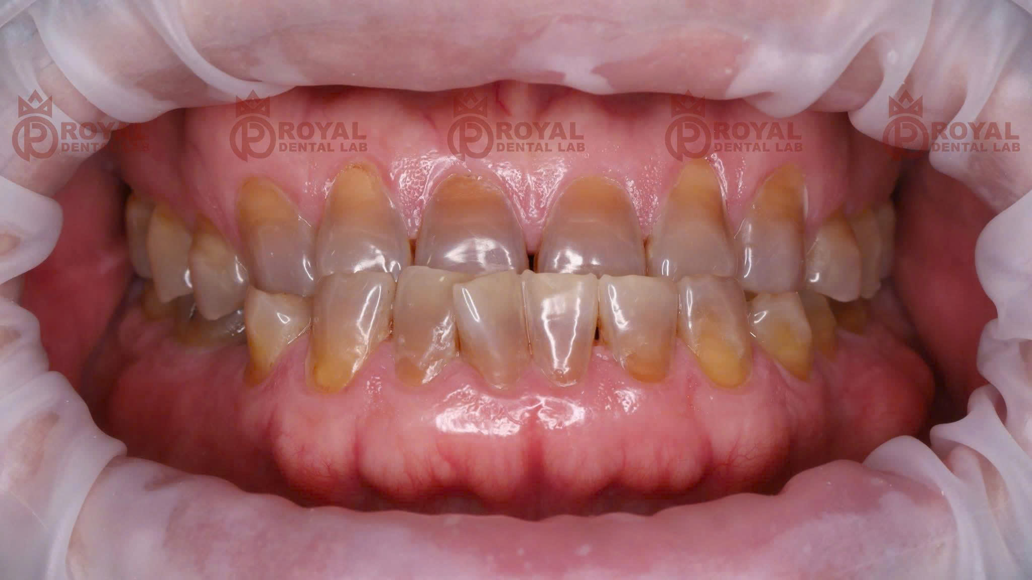
Thách thức từ khớp cắn ngược (Hạng III)
Trong ca lâm sàng do Royal Dental Lab thực hiện, bệnh nhân gặp tình trạng khớp cắn ngược. Do đặc thù sai khớp cắn, lực nhai của bệnh nhân rất mạnh, có thể lên đến $1000N$. Điều này đòi hỏi vật liệu phục hình phải cực kỳ bền bỉ.
Nếu sử dụng các dòng sứ thủy tinh thông thường, nguy cơ vỡ mẻ là rất cao. Vì vậy, bác sĩ đã quyết định sử dụng Zirconia làm vật liệu chủ đạo.
3 lý do nên chọn Zirconia cho phục hình toàn hàm
Tại sao Zirconia lại vượt trội hơn các vật liệu khác trong trường hợp này? Dưới đây là 3 lý do chính:
-
Độ bền cơ học lý tưởng: Zirconia chịu lực tốt hơn Lithium Disilicate nhiều lần. Nhờ đó, bác sĩ có thể mài răng rất ít (xâm lấn tối thiểu) mà răng vẫn không bị gãy vỡ.
-
Khả năng che màu hoàn hảo: Với những cùi răng bị nhiễm màu hoặc sẫm màu, Zirconia tiền nung kết giúp che phủ hoàn toàn. Phục hình sẽ có màu sắc đồng nhất, không bị ánh xám.
-
Công nghệ dán dính hiện đại: Nhờ dung dịch xử lý bề mặt EZircos, Zirconia có thể dán dính cực chắc vào men răng. Đây chính là “chìa khóa” giúp phục hình bền vững theo thời gian.
Phôi sứ Jelenko: Sự lựa chọn tin cậy cho nha khoa
Để đạt được kết quả như ý, chất lượng phôi sứ đóng vai trò then chốt. Seven Healthcare hiện cung cấp dòng phôi sứ Jelenko với những đặc điểm vượt trội:
-
Thẩm mỹ cao: Độ trong mờ tự nhiên, giúp răng sứ trông như răng thật.
-
Tương thích sinh học: An toàn tuyệt đối với môi trường khoang miệng, không gây đen viền nướu.
-
Dễ dàng chế tác: Phôi sứ Jelenko tương thích tốt với các hệ thống CAD/CAM, giúp Labo tạo ra những sản phẩm chính xác đến từng micromet.
Kết luận
Việc ứng dụng Zirconia trong phục hồi toàn hàm là bước tiến mới của nha khoa hiện đại. Sự kết hợp giữa kỹ thuật bác sĩ và vật liệu cao cấp như Jelenko sẽ mang lại nụ cười hoàn hảo cho bệnh nhân.
Nếu bạn đang tìm kiếm giải pháp phục hình bền vững, hãy liên hệ ngay với chúng tôi để được tư vấn về dòng sứ Jelenko chính hãng.
Thông tin liên hệ:
CÔNG TY CỔ PHẦN 24 SEVEN HEALTHCARE VIỆT NAM
-
Địa chỉ: 17 Phạm Vấn, P. Phú Thọ Hòa, TP.HCM
-
Hotline: 0977.403.103 – 0377.166.698
-
Email: 24sevenhc.com.vn@gmail.com

